מרפאת שיניים בחולון
+972 3-5510513
ישראל, חולון, רבינוביץ 5 דירה 1
(מפה)
9:00 - 18:00, 16:00 - 19:00
אורי
בבייב
מרפאת שיניים של ד\"ר בבייב
מרפאת שיניים
רבינוביץ 5 דירה 1
חולון
ישראל
+972 3 5510513
+972 3 5518283
דף הבית
אודותנו
צוות מרפאה
תעודות
צור קשר
מאמרים
לפני אחרי
השתלות שיניים
שיקום הפה
טיפולי חניכיים
יישור שיניים
טיפולי שורש
הלבנת שיניים
אסתטיקה דנטלית
טכנולוגיות
עזרה ראשונה בשיניים
אחריות
מבצעים
דף הבית
לפני אחרי
סגירת רוחים
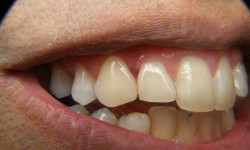
סגירת רווחים - דוגמה 4
סגירת רווחים - דוגמה 4
+972 3-5510513
ישראל, חולון, רבינוביץ 5 דירה 1
(מפה)
© 2025 מרפאת שיניים ד"ר בבייב
בניית אתרים
לקבוע תור
מפה - ישראל, חולון, רבינוביץ 5 דירה 1